Straighten Your Smile Discreetly with Clear Braces
At Craigentinny Dental Care in Edinburgh, we offer clear braces as a discreet and effective way to straighten your teeth and improve your smile. Clear braces are also known as invisible braces and are a modern alternative to traditional metal braces. They also have less bulk than short term options such as the inman aligner Made from transparent materials, they are designed to be barely noticeable, making them a popular choice for adults and teens who want a more subtle orthodontic treatment.
Why not preview your future smile,
Why choose Clear Braces?
Patients choose clear braces not just for their aesthetic appeal, but also for their comfort and flexibility. Whether you’re dealing with crooked teeth, gaps, overcrowding, or mild bite issues, clear braces provide an effective solution without drawing attention to your treatment. Our experienced team will guide you through every step, from consultation to your new, straighter smile.
If you’re considering clear braces in Edinburgh, contact Craigentinny Dental Care today to book a consultation and take the first step towards a confident, straighter smile.
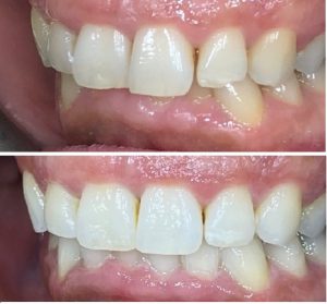
We only use photographs of our own work on our web site that is reproduced with the kind permission of our patients. Our dentists have many years experience with this type of treatment and have a large portfolio of before and after photographs that demonstrate the types of problems that we can help with. Why not book a free consultation today or find out more about our dentists.
Request a Free Consultation


