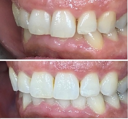
Resin Bonding (Composite Bonding)

Resin bonding can be used in a variety of ways to enhance your smile here are just a few examples of what can be achieved to treat tooth wear, improve shape and alignment and in combination with other treatments. Before starting resin bonding we always carry out a digital smile design for our patients so that you can preview the final results before committing to treatment

Teeth Whitening

We use our  own design of in house whitening  trays to help our patients safely achieve the tooth whitening results that they want, whether that is subtle or more of a statement. Because we design your whitening trays in house we can get your treatment going quickly with  just a few short days between gathering our records and starting the whitening process. Please be aware a full examination is required before any cosmetic treatment. Find our more on our teeth whitening page.

Orthodontics and Clear Aligners

Our team are well versed in a range of orthodontic options for adult patients be it clear aligners, inman aligners or fixed brace treatment.